Chẩn đoán và điều trị bệnh lý thoát vị đĩa đệm C4 – C5 ở bạn chó Maxi

Báo cáo ca lâm sàng: Thoát vị đĩa đệm C4 – C5 ở chó Maxi

  • Loài: Lạp xưởng
  • Giới tính: Đực
  • Cân nặng: 12,5 kg
  • Tuổi: 7 năm

Tiền sử bệnh lý

Chó Maxi được đưa đến Bệnh viện Thú Y Bằng Phạm trong tình trạng nghiêng đầu, căng cứng cổ kèm đau, dáng đi loạng choạng và mất vững.
Đây là những dấu hiệu điển hình của bệnh lý thần kinh hoặc tổn thương cột sống cổ, thường gặp ở các ca thoát vị đĩa đệm ở chó.

Khám lâm sản và chuẩn đoán hình ảnh

Tình trạng thần kinh: Tinh thần tỉnh táo nhưng di chuyển khó khăn, mất thăng bằng.

CT-scan thú y cho thấy đĩa đệm C4 – C5 thoát vịchèn ép tủy sống cổ, gây ra các biểu hiện thần kinh rõ rệt.

Khám phản xạ thần kinh:

  • Trương lực cổ tăng, cổ cứng.
  • Phản ứng chi yếu hoặc mất.
  • Phản xạ gân xương tăng mạnh.
  • Phản xạ hậu môn và bàng quang bình thường.
  • Cảm giác đau nông và sâu vẫn còn.

Chẩn đoán hình ảnh

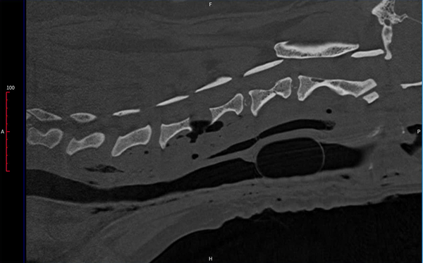
  • CT- scan: Xác định đĩa đệm C4 – C5 thoát vị, chèn ép lên tủy sống cổ, gây ra triệu chứng thần kinh.

Hình ảnh CT thể hiện đĩa đệm cổ bị phồng ra phía sau, làm biến dạng tủy sống. Ngoài ra, các đĩa đệm lân cận cũng có dấu hiệu thoái hóa — cho thấy bệnh thoát vị đĩa đệm tiến triển mạn tính.

Chuẩn đoán cuối cùng

➡️ Thoát vị đĩa đệm C4 – C5 ở chó, chèn ép tủy sống cổ.

Phương pháp điều trị

Đối với những ca thoát vị đĩa đệm ở chó mức độ nặngđiều trị nội khoa chỉ giúp kiểm soát tạm thời.
Trong trường hợp của Maxi, phẫu thuật giải phóng chèn ép tủy sống là phương pháp duy nhất để tránh liệt vĩnh viễn.

Ca phẫu thuật thoát vị đĩa đệm cổ được đội ngũ bác sĩ tại Bệnh viện Thú Y Bằng Phạm thực hiện với độ chính xác cao.

🔹 Thách thức phẫu thuật:

  • Độ sâu vùng mổ: cần tiếp cận qua nhiều lớp mô cổ.
  • Nguy cơ tổn thương cơ quan lân cận như dây thần kinh cổ họng, khí quản, thực quản.
  • Không gian thao tác hạn chế, phải tránh tĩnh mạch xoang dọc bụng cột sống để ngăn chảy máu lớn.

Kết luận
Dù ca mổ có mức độ phức tạp cao, đội ngũ phẫu thuật tại bệnh viện vẫn có đủ năng lực thực hiện với độ chính xác cao nhằm tối ưu hóa kết quả điều trị cho bệnh nhân Maxi.

🔹 Kỹ thuật phẫu thuật:

  • Cố định cổ bằng túi cát và khăn hỗ trợ kéo dài tối đa, giúp mở rộng không gian thao tác.
  • Phẫu thuật tiếp cận cột sống cổ qua đường bụng, cẩn trọng tránh tổn thương tủy sống.
  • Sử dụng màng PE bảo vệ vết mổ, ngăn nhiễm trùng, hỗ trợ lành thương nhanh.
  • Khoan mài kim cương được sử dụng để giải tỏa chèn ép thần kinh một cách chính xác.

Ca mổ kéo dài hơn 2 giờ, đòi hỏi sự tập trung tuyệt đối để tránh bất kỳ tổn thương thứ phát nào đến tủy sống và dây thần kinh.

Đối với trường hợp này, điều trị nội khoa có thể giúp kiểm soát triệu chứng trong thời gian ngắn, nhưng chỉ có phẫu thuật giải phóng chèn ép tủy mới giúp cún tránh khỏi nguy cơ liệt vĩnh viễn. Cũng giống như một con đường bị tắc nghẽn – nếu không sớm khai thông, dòng chảy của tín hiệu thần kinh sẽ ngày càng yếu đi, đến lúc đó dù có muốn cũng không thể phục hồi như trước nữa.

Hình ảnh chụp CT-scan sau phẫu thuật

Kết quả sau phẫu thuật

Chỉ sau vài ngày, chức năng vận động của Maxi đã cải thiện rõ rệt, cho thấy tủy sống và dây thần kinh được giải phóng thành công.
Đây là một dấu hiệu phục hồi tích cực, khẳng định hiệu quả của phẫu thuật thoát vị đĩa đệm ở chó khi được thực hiện đúng kỹ thuật và kịp thời.

Tổng kết

Trường hợp của Maxi là minh chứng rõ ràng rằng, phẫu thuật thoát vị đĩa đệm cổ không chỉ giúp cứu sống bệnh nhân mà còn khôi phục chất lượng cuộc sống cho thú cưng.
Nếu chó hoặc mèo của bạn có biểu hiện đi loạng choạng, yếu chân, đau cổ hoặc không thể đứng dậy, đó có thể là dấu hiệu của thoát vị đĩa đệm — hãy đưa ngay đến Bệnh viện Thú Y Bằng Phạm để được chẩn đoán và điều trị kịp thời.

Bài viết liên quan
Danh mục bài viết