Đôi khi, điều nguy hiểm nhất… là khi mọi thứ trông vẫn còn bình thường. Nếu chỉ nhìn thoáng qua, bạn sẽ nghĩ đây là một chú chó hoàn toàn khỏe mạnh, vẫn chạy, vẫn vui, vẫn lanh lợi…. Nhưng có một chi tiết rất nhỏ mà nếu bỏ qua, cái giá phải trả lại rất lớn. Câu chuyện của bé Poodle Bông Lúa tại Bệnh viện Thú y Bằng Phạm sẽ cho thấy mối nguy hại tiềm ẩn khi chó bị trật xương bánh chè kết hợp đứt dây chằng chéo trước.
Dấu hiệu cảnh báo chó bị trật xương bánh chè
Bông Lúa là một bé Poodle ba tuổi vốn lanh lợi, bỗng một ngày bắt đầu có dấu hiệu lạ – bé vẫn cố chạy theo chủ, vẫn nhanh nhẹn, nhưng chân sau bên trái cứ co gập lại, chỉ lò cò bằng ba chân còn lại. Bé hoàn toàn không gặp tai nạn, không va chạm, nhưng rõ ràng có một kẻ thù giấu mặt đang âm thầm hành hạ bé mỗi ngày.

Chẩn đoán kép: Chó bị trật xương bánh chè độ 3 và đứt dây chằng chéo trước
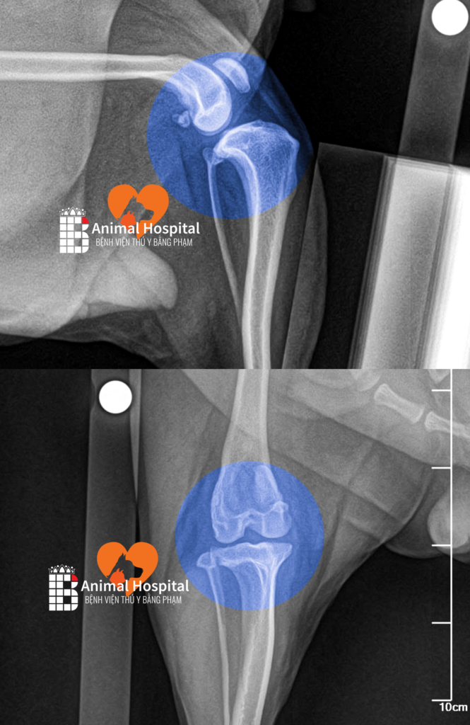
Tại Bệnh viện Thú y Bằng Phạm, kết quả X-quang cho thấy Bông Lúa mắc phải hai tổn thương nghiêm trọng cùng lúc: trật xương bánh chè độ ba và đứt hoàn toàn dây chằng chéo trước.

Sự kết hợp của hai tổn thương này không chỉ phá hủy cấu trúc cơ học của khớp gối mà còn gây đau đớn dai dẳng, biến mỗi bước đi thành một thử thách. Cụ thể:
- Với chứng trật xương bánh chè: Trong trường hợp bình thường, xương bánh chè phải nằm chính giữa rãnh trên xương đùi để khớp vận hành trơn tru, nhưng ở Bông Lúa, xương bánh chè đã trượt hoàn toàn ra khỏi rãnh và bị khóa cứng ở vị trí sai, khiến bé không thể duỗi thẳng chân và chỉ có thể di chuyển bằng ba chân còn lại.

- Với chấn thương đứt dây chằng: Dây chằng chéo trước có vai trò như một dây neo quan trọng, giữ cho xương chày và xương đùi liên kết chặt chẽ với nhau – khi dây chằng này đứt, xương chày mất sự kiềm chế và trượt về phía trước mỗi khi chịu lực, khiến hai khúc xương không còn khớp đúng trục và toàn bộ khớp gối mất ổn định hoàn toàn.

Nhiều chủ nuôi lầm tưởng rằng nếu thú cưng vẫn chạy được thì tình trạng không nghiêm trọng, nhưng thực tế, nếu không can thiệp kịp thời, quá trình thoái hóa khớp sẽ tiến triển nhanh chóng và không thể đảo ngược, dẫn đến viêm khớp mạn tính và khả năng đi lại bình thường của bé sẽ bị ảnh hưởng vĩnh viễn.
Giải pháp chuyên sâu: Phẫu thuật kết hợp TPLO và PGR trong trường hợp chó bị trật xương bánh chè
Vậy làm thế nào để cứu Bông Lúa? Chúng tôi quyết định phẫu thuật kết hợp hai phương pháp.
- Phẫu thuật PGR (Patellar Groove Replacement): Do rãnh ròng rọc tự nhiên đã bị hư hại không thể bảo tồn, chúng tôi thực hiện phương pháp PGR để thay thế bằng rãnh nhân tạo.
- Phẫu thuật TPLO (Tibial Plateau Leveling Osteotomy): Đồng thời áp dụng phẫu thuật TPLO để ổn định khớp gối lâu dài. Điểm đặc biệt của TPLO là thay vì nối dây chằng nhân tạo dễ đứt lại, kỹ thuật này thay đổi góc nghiêng của xương để khớp gối tự ổn định vững chắc ngay cả khi dây chằng đã mất chức năng.

Ca phẫu thuật kéo dài ba giờ, trong đó mỗi đường cắt xương đều cần được tính toán và thực hiện cẩn thận, với bộ dụng cụ được chế tạo bằng phương pháp rèn truyền thống để tăng độ bền và an toàn cho bé.
Hồi phục ngoạn mục và bài học cho chủ nuôi chó bị trật xương bánh chè
Hành trình phục hồi của Bông Lúa đã diễn ra vô cùng tích cực. Sau phẫu thuật, với sự chăm sóc và vật lý trị liệu đúng cách, tuần thứ hai Bông Lúa đã bước đi vững vàng, và chỉ sau một tháng, bé có thể chạy nhảy, nô đùa trên cả bốn chân như chưa từng gì xảy ra.
Và đó chính là lý do vì sao, có những bé trông vẫn ‘ổn’, nhưng thực ra bên trong khớp gối đã âm thầm tổn thương từng ngày. Cái chi tiết rất nhỏ lúc đầu… lại là thứ quyết định cả khả năng chạy nhảy về sau.
VIDEO QUÁ TRÌNH PHẪU THUẬT/PHỤC HỒI CỦA BÔNG LÚA
Nếu bạn nhận thấy cún cưng của mình có biểu hiện đi lò cò 3 chân, co gập chân sau thì hãy cẩn thận với nguy cơ chó bị trật xương bánh chè. Đừng chần chừ, hãy liên hệ ngay với Bệnh viện Thú y Bằng Phạm để được tầm soát bằng hình ảnh X-quang và can thiệp kịp thời nhé!
📞 Liên hệ khám & tư vấn chuyên sâu tại Hệ thống Bệnh Viện Thú Y Bằng Phạm
Nếu thú cưng của bạn đang có dấu hiệu đi lại khó khăn, hãy đưa bé đến ngay các cơ sở của chúng tôi để được tầm soát sớm nhất!
- 📍 Bệnh viện Thú Y Bằng Phạm Biên Hòa: Đầu hẻm 1362 Nguyễn Ái Quốc, P. Tân Phong, Đối Diện Nhà Lao, Tp. Biên Hòa, Đồng Nai.
- 📍 Bệnh viện Thú Y Bằng Phạm Bình Dương: 232 Phú Lợi, Tp. Thủ Dầu Một, Bình Dương.
- 📲 Hotline / Zalo (Cấp cứu 24/24): 0942 321 123 (CN1) – 076 739 3839 (CN2)
- 🕐 Giờ làm việc: 8h00 – 22h00 hàng ngày.
